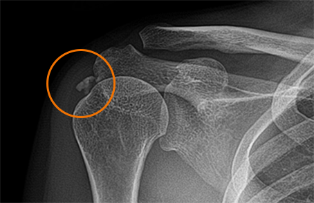
석회
회전근개 힘줄 안에서 발생
석회가 있었다는 것은 이미 수 년동안 회전근개쪽에도 문제가 있었다는것을 의미

-
석회의 상태
형성기
석회가 분필처럼 말라서 딱딱하게 굳어져있는 상태
대부분 증상이 없으며 우연히 발견됨흡수기
석회가 치약처럼 말랑말랑해져 있는 상태
극심한 통증을 유발하는 경우가 많다.
치료 방법
어깨 질병의 일부분인 석회성 건염 치료 방법입니다.
-

- 주사치료-염증제거주사
인대강화주사(프롤로주사)
-

- 도수재활치료
충격파치료
-

- 부위마취 석회유착해리술
-

- 수술적 치료


























