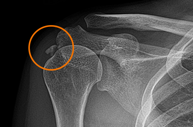
석회
회전근개 힘줄 안에서 발생 석회가 있었다는 것은 이미 수 년동안 회전근개쪽에도 문제가 있었다는 것을 의미

석회의 상태
형성기
석회가 분필처럼 말라서 딱딱하게 굳어져있는 상태흡수기
석회가 치약처럼 말랑말랑해져 있는 상태치료 방법
어깨 질병의 일부분인 석회성 건염 치료 방법입니다.




체계적이면서 효과적으로 치료되는
(입원)재활집중프로그램
본원은 디스크에 대한 많은 치료 경험을 가진 전문의들의 체계적인 협진 진료 시스템으로 진료 및 치료가 이루어집니다. 입원집중치료는 환자와 1:1 증상별 맞춤 치료로 단기간에 치료 효과가 배가 될 수 있는 시스템으로 진행 합니다.

