
회전근개의 구조
극하근, 극상근, 소원근, 견갑하근 총 4개의 근육으로 구성

회전근개의 파열
근육이 다 끊어지는 경우는 드물며 근육의 일부가 부분적으로 패이거나 늘어지거나 하는 경우가 많다.
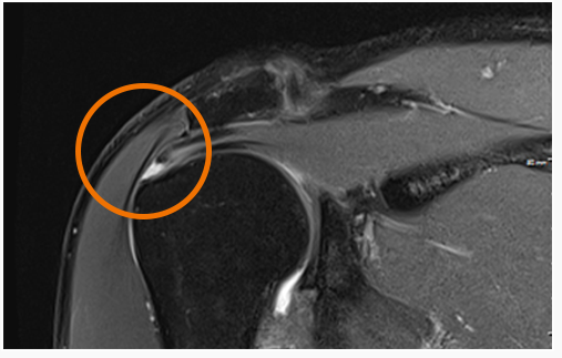
진단
초음파로 선별 검사 후 MRI로 정밀검사 필요 파열의 위치, 길이, 두께로 정확히 알아야 적절한 치료방법을 결정

방치할 경우 발생 가능한 합병증
진행된 어깨관절염
인공관절수술 후
비수술적 치료 VS 수술적 치료


비수술적 치료 VS 수술적 치료
주사치료-염증제거주사
인대강화주사(프롤로주사)
도수재활치료/충격파치료
회전근개파열 복원 수술
정형외과 교과서에서 이야기 하는 수술이 필요한경우
체계적이면서 효과적으로 치료되는
(입원)재활집중프로그램
본원은 디스크에 대한 많은 치료 경험을 가진 전문의들의 체계적인 협진 진료 시스템으로 진료 및 치료가 이루어집니다. 입원집중치료는 환자와 1:1 증상별 맞춤 치료로 단기간에 치료 효과가 배가 될 수 있는 시스템으로 진행 합니다.

